104
Created on By omfp

Case Of The Month

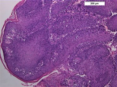
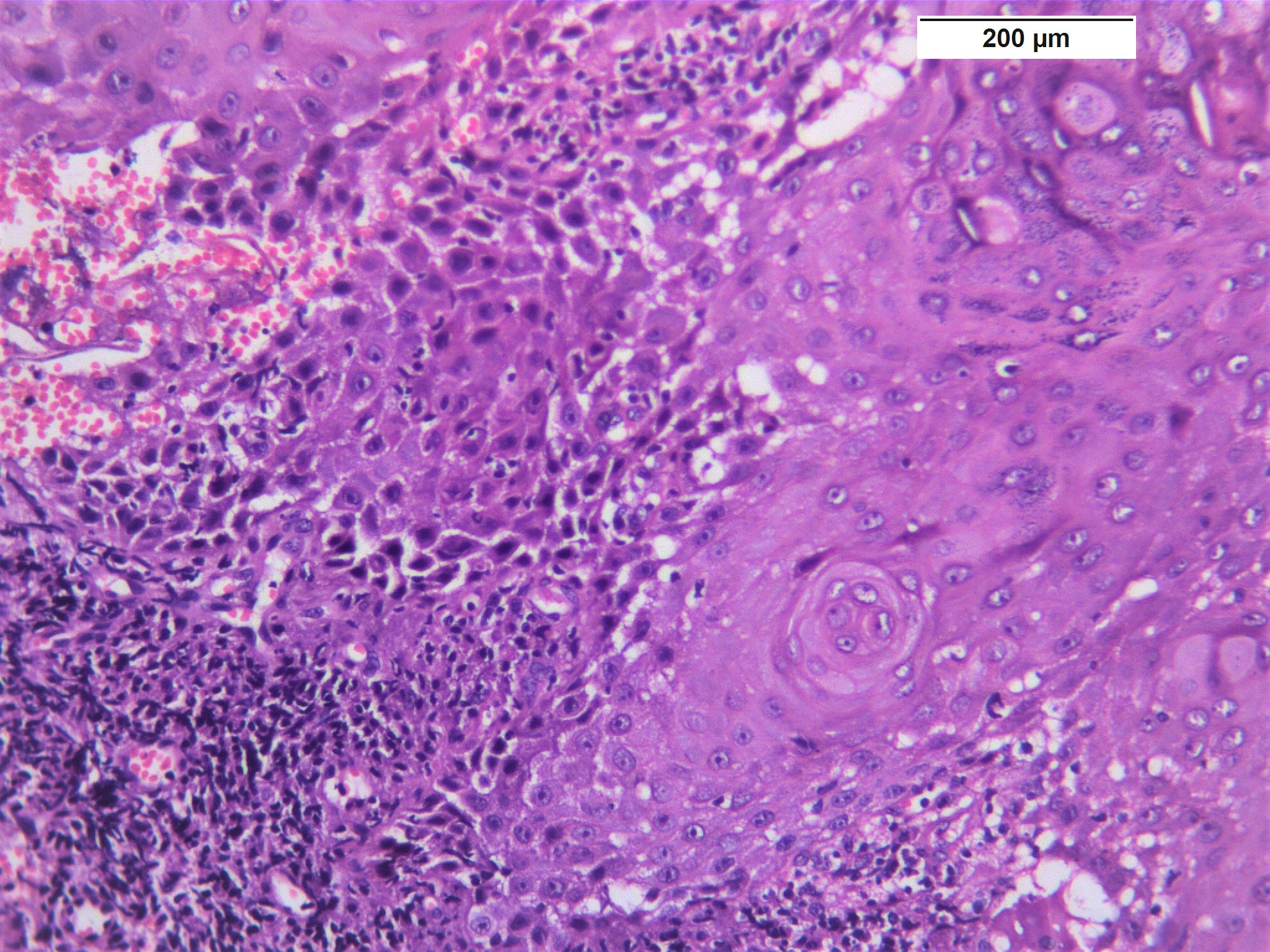
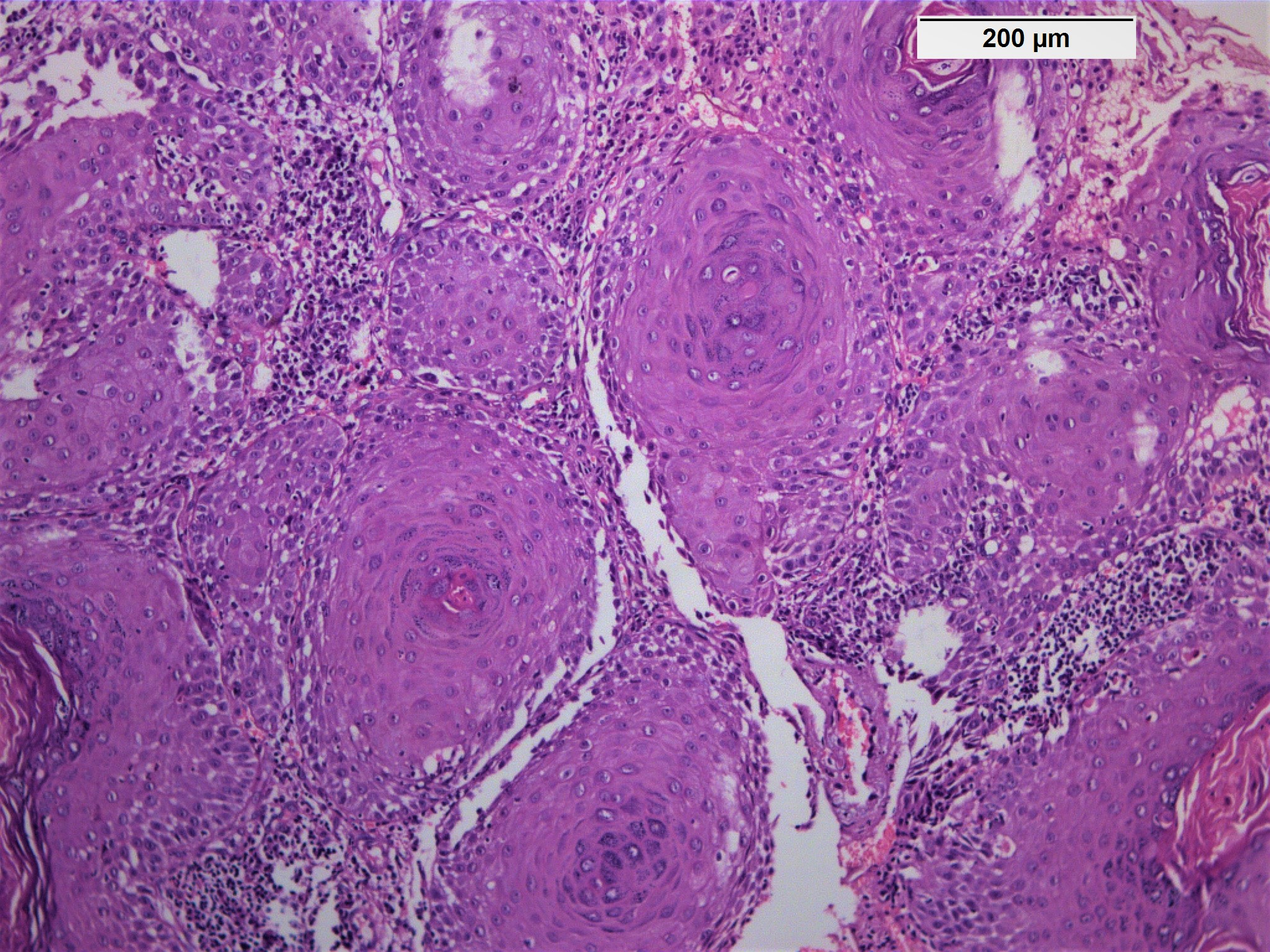
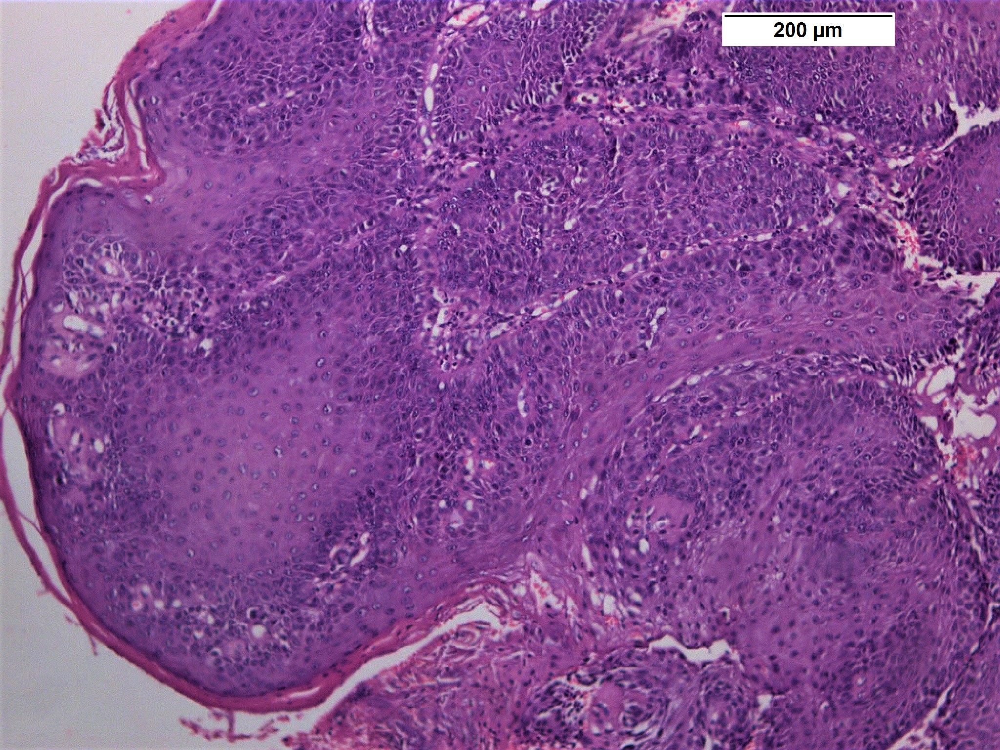
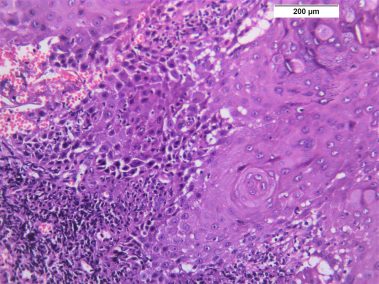
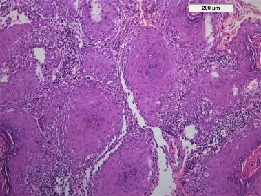
85 years old male came to the clinic suffering from painful ulcer in the left buccal mucosa related to the lower first and second molars. The patient stated that this ulcer appeared three months ago and was preceded by long standing reddish white lesion. The related molars have grade 3 mobility upon clinical examination.

Please tell us who you are (Name is Required)

1 / 1

View the Photos Above closely And Chose Wisely, Only one chance allowed.

Your score is

The average score is 75%

0%