166
Created on By omfp

Case Of The Month

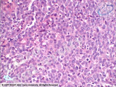
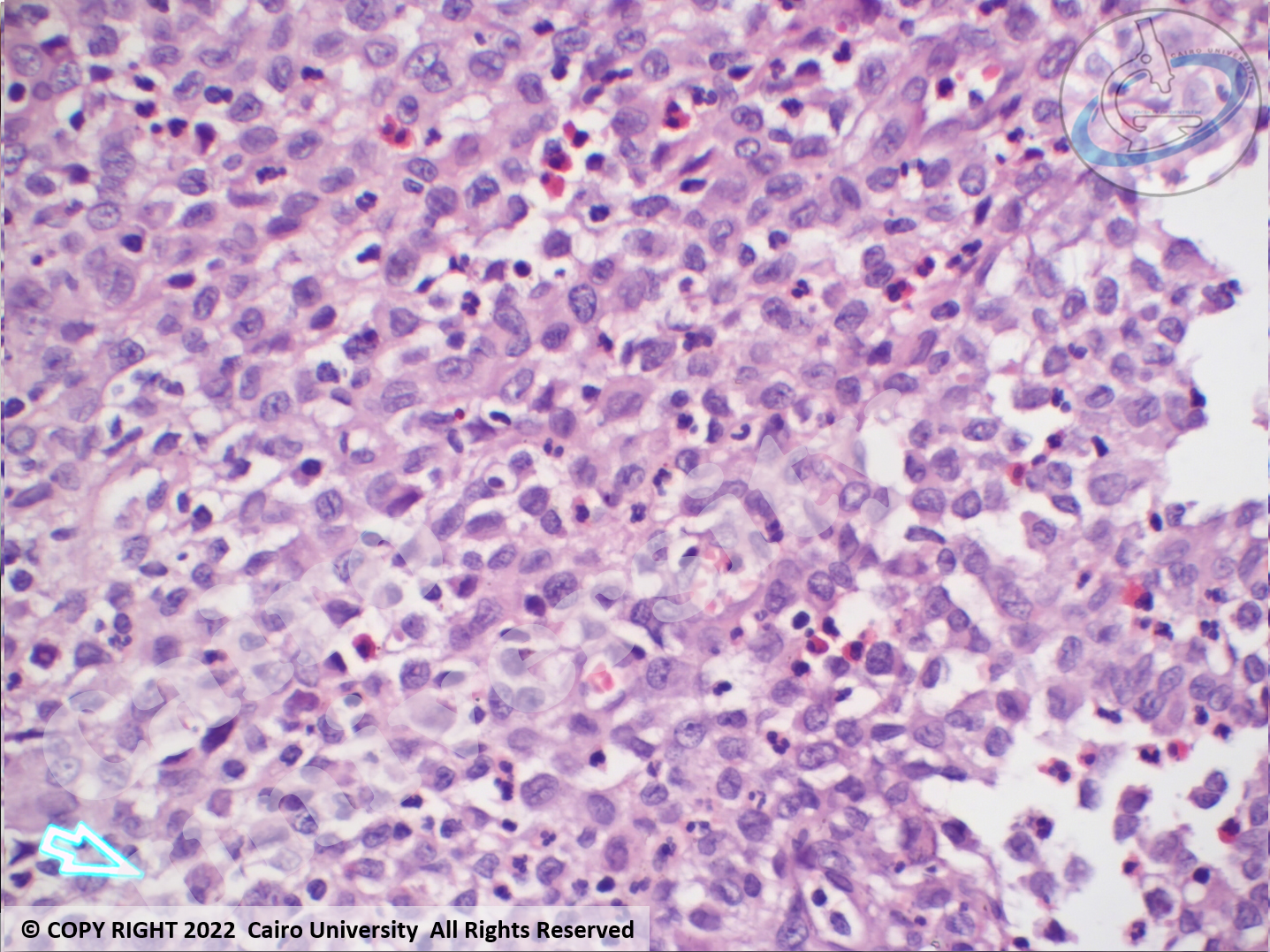
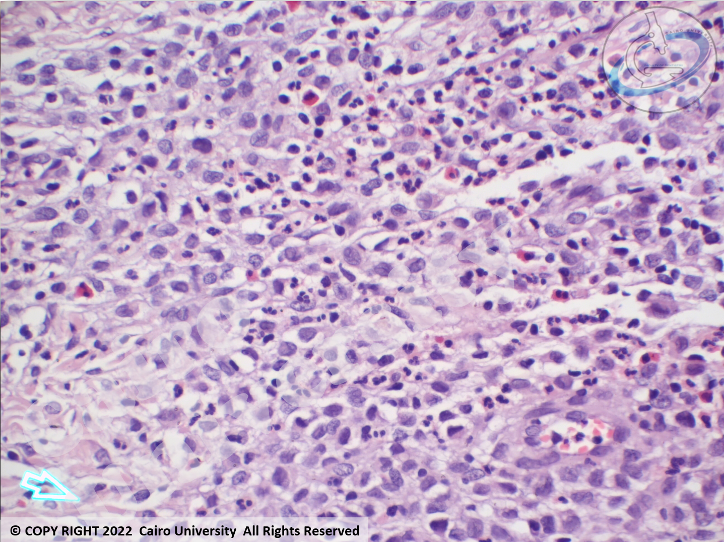
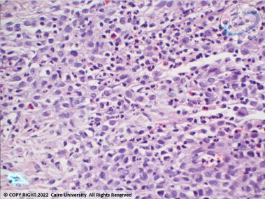
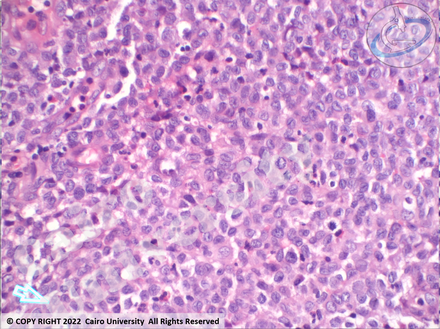
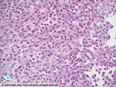
A 5-y-old female patient suffered from gingival hyperplasia of both jaws of one-month-duration. Upon clinical examination, the swellings appeared to be reddish and friable. CT scan showed no intrabony extension.

 

Please tell us who you are (Name is Required)

1 / 2

View above photos carefully and chose the correct answers:

2 / 2

Name the immunohistochemical marker used to reach the final diagnosis?

Your score is

The average score is 60%

0%

3 Comments

Leave a Reply

Your email address will not be published. Required fields are marked *

Post comment